Welcome to Century Farms Dental
CARING FOR YOU AND YOUR SMILE
When you walk into our office, our friendly team welcomes you with a warm smile. We designed our space to feel calm and relaxing, so every visit feels easy. We know some people feel nervous about seeing the dentist, and we are here to help you feel safe and supported.
At
Century Farms Dental, we offer caring, high-quality dental care in a warm and friendly setting. Our skilled team provides personalized treatment for your needs, from simple check-ups to more advanced dental work. No matter why you visit, we want your experience to be comfortable and stress-free.

Your comfort matters to us. From the moment you enter our reception area, you will feel welcomed. Our office is built to help you relax, and we offer helpful amenities to make your visit even easier. If you feel anxious about dental care, our gentle team is here to guide you every step of the way.
Thank you for choosing Century Farms Dental.
We are excited to help you enjoy a healthy, bright smile. Contact us today to book your appointment and see why Century Farms Dental is the right place for all your dental needs.
Dental Services at Century Farms Dental
Century Farms Dental provides a wide range of dental services that will address all aspects of your oral hygiene. Our team can handle your dental needs, whether you require preventive care, cosmetic procedures, or restorative treatments. Our services include:
Emergency Dentistry
You need to be prepared for any dental emergency. Century Farms Dental offers emergency dental services for issues such as severe tooth pain, cracked teeth, and dental trauma. We strive to offer immediate relief, prevent further complications, and allow you to return to normal activities.
Dental Implant Restoration
Dental implants offer a permanent, natural-looking solution to tooth loss. Century Farms Dental offers dental implant restorations, such as the placement of crowns. Implants maintain the jawbone structure and provide a solid foundation for replacement teeth. This ensures long-lasting results as well as improved oral health.
Crowns and Bridges
Bridges and crowns are vital for restoring function and aesthetics. A crown or cap protects a damaged tooth, improving its strength and appearance. Bridges can fill in the gaps left by missing teeth and restore your smile. Crowns and bridges are made from durable materials that look natural.
Restorative Fillings
Restorative dentistry repairs and restores damaged or decayed teeth to improve function and appearance. We use durable fillings to stop decay, bonding to fix chips and cracks, and inlays or onlays for more extensive damage. If a tooth needs removal, our team performs gentle, precise extractions — including wisdom teeth — with your comfort as the top priority.
Preventive Care
Prevention is the key to good oral health. Preventive care is designed to keep teeth and gums healthy and detect potential problems before they become major. These services include routine checkups, professional cleanings, and fluoride treatments. We can monitor your oral hygiene and give you personalized advice to maintain a healthy smile. Learn More
Dentures and Partials
Partials and dentures are good solutions for patients who have multiple missing teeth. Partials can be used when there are still some natural teeth, while dentures can replace the entire arch. Both options are custom-made to look and fit naturally. They help you smile, eat, and speak with confidence.
Meet Our Team
Our dedicated team at Century Farms Dental is here to provide you with exceptional dental care. We are committed to delivering personalized treatment and ensuring your comfort throughout your visit. Our staff work together to create a warm and welcoming environment for every patient. We take pride in staying up-to-date with the latest advancements in dentistry through continuous education and training. Get to know our team at Century Farms Dental, where your dental health and satisfaction are our top priorities.

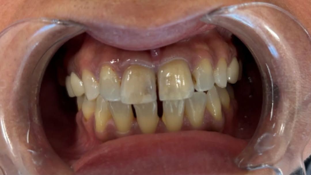
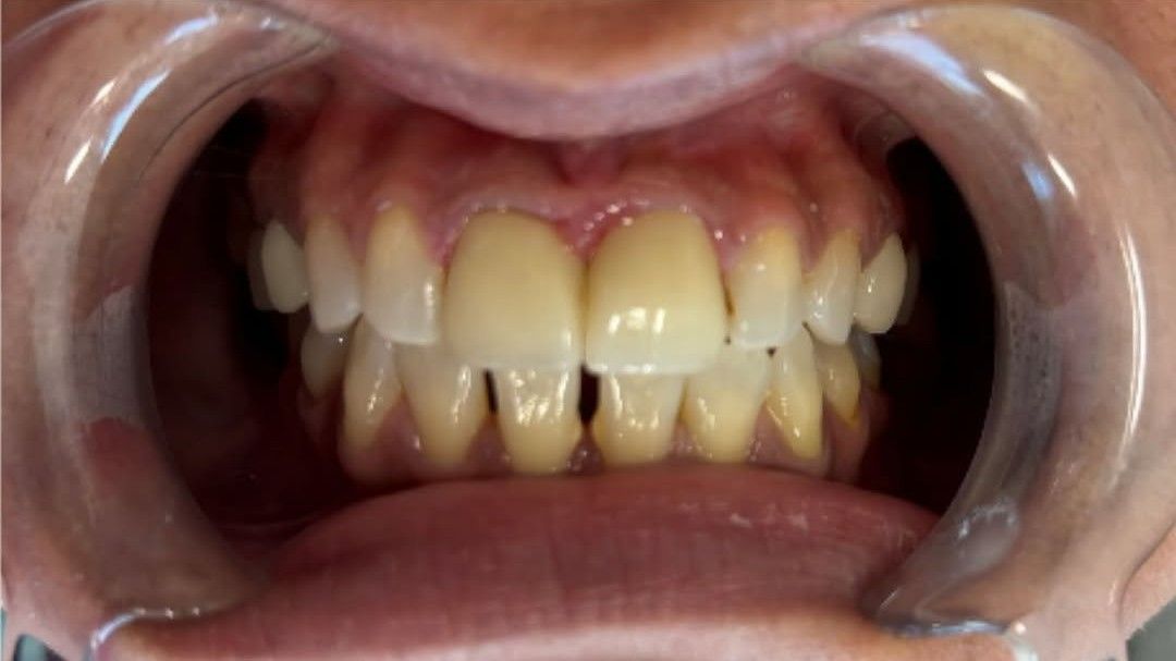
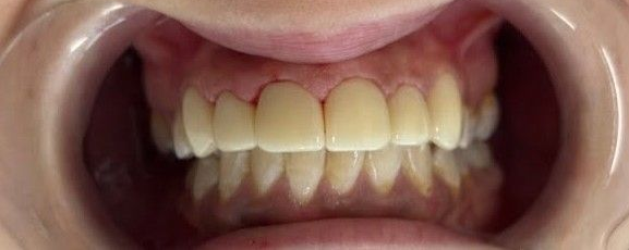
Our Happy Patients
Century Farms Dental is committed to ensuring that our patients are satisfied. Their smiles are the greatest reward. We are extremely proud of the positive feedback that we receive from our patients.
Patients appreciate our personalized care, compassionate attitude, and exceptional results. Our patients have told us how Dr. Tara's team has transformed their dental health and given them more confidence.
We are proud to have earned the trust and loyalty of our patients and are committed to providing the highest quality care to each patient who walks through our door.
Location and Hours
Century Farms Dental, located in Antioch, TN, is easily accessible to area residents. Our flexible appointment schedule includes includes Fridays and one Saturday per month to fit your busy lifestyle. We also offer online scheduling for new patients and emergencies. We strive to make dental treatment convenient and affordable for all.
BUSINESS HOURS
- Mon - Thu
- -
- Friday
- Appointment Only
- Sat - Sun
- Closed

State-of-the-Art Technology
We are committed to providing the highest quality of care using the most advanced dental technologies. Our modern facility is equipped to the highest standards to ensure accurate diagnosis and effective treatment with cutting-edge tools and equipment, such as intraoral cameras and digital X-rays. By incorporating the latest technology, we can provide minimally invasive treatments with better outcomes and quicker recovery times.
Have any questions you still need answered?
Contact Us Today!
Fill out the form below to schedule an appointment or call us at (615) 815-6002.
Home
Follow Us
Connect with us on social media! Follow us on Instagram and Facebook to:
- Read our latest patient stories and updates.
- Get tips on maintaining great dental health.
- Be the first to know about new offers and events.
Stay connected to everything that is happening at Century Farms Dental by joining our community!






















